Цены на профессиональную гигиену полости рта
| Название процедуры | Стоимость | ||
|---|---|---|---|
| Комплексная чистка зубов от камня и налёта с глицином "Classic", 2 челюсти | 2500 | ||
| Комплексная чистка зубов "Кальцием" и глубоким фторированием эмали, 2 челюсти | 3000 | ||
| Стоматологическая чистка зубов с брекетами, 2 челюсти | 3000 | ||
| Отдельные процедуры | |||
| Снятие зубного камня ультразвуком + полировка зубов, 1 челюсть | 1200 | ||
| Бесконтактная чистка аппаратом AirFlow от налёта, 1 челюсть | 1000 | ||
| Комбинированная чистка: Ультразвук + Airflow, 1 челюсть | 1350 | ||
*Использование одноразового губного ретрактора оплачивается отдельно
Записаться на чистку зубов
Что входит в процедуру чистки зубов:
- Ультразвуковая чистка от зубного камня;
- Удаление остатков зубного камня и зубного налёта бесконтактной чисткой Air-Flow;
- Полировка зубов ротационной щёткой со специальной пастой;
- Консультация врача;
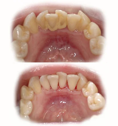
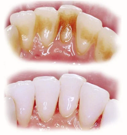
Примеры чистки зубов
Рекомендации после профессиональной гигиены полости рта
- Избегайте пищи и напитков в течение 60 минут после процедуры, это время необходимо, чтобы зубы и дёсны восстановились после воздействия инструментов, используемых при чистке;
- После стоматологической чистки зубы более чувствительны к насыщению пигментами, поэтому для закрепления полученного эффекта желательно исключить на 2-3 часа из рациона все продукты, содержащие красители;
- Не курить. Смолы сигаретного дыма в процессе курения оседают на поверхности зубов, создавая коричневый зубной налёт, который трудно очищается и прилипает к эмали. Это может привести к ухудшению состояния здоровья зубов и дёсен, а также ускорить образование налёта и зубного камня;
- Чистите зубы дважды в день, лучше всего после завтрака и перед сном. Не стоит забывать о тщательной чистке каждого зуба, используя зубную щётку средней жёсткости, избегая сильного давления на зубы, чтобы не травмировать эмаль. Кроме того, необходимо пользоваться зубной нитью или ирригатором для удаления остатков пищи между зубами, желательно перед сном. И ополаскивателем для полости рта для свежего дыхания и устранения бактерий;
- В случае временной кровоточивости и отёка дёсен соблюдайте рекомендации вашего стоматолога. Также можно полоскать полость рта хлоргексидином и раствором перекиси водорода, разведённым в питьевой воде: 1 чайная ложка 3% перекиси водорода на 100 мл тёплой воды. 1-2 дня 2-3 раза в день. При отсутствии противопоказаний и индивидуальной непереносимости препаратов;
- Даже если вы хорошо и систематически чистите зубы, профессиональная чистка зубов от камня и налёта является необходимой процедурой для поддержания здоровья полости рта. Рекомендуем посещать стоматолога не реже одного раза в полгода;
Стоматологическая чистка зубов — что это?
Процесс удаления зубного налёта, камня и пятен с поверхности зубов с применением специальных инструментов и аппаратов, который выполняется стоматологом или гигиенистом. Данная процедура может состоять как из отдельных манипуляций, например только ультразвуковая чистка зубного камня для группы зубов или одной челюсти, так и быть комплексной, включая три основных способа стоматологической чистки. В совокупности они позволяют эффективно и безопасно снять налёт и камень, который может стать причиной кариеса, воспаления дёсен и даже выпадения зубов. Рекомендуется примерно один раз в шесть месяцев проводить стоматологическую чистку зубов.
Ультразвуковая чистка зубов
Чистка зубов AirFlow
Полировка зубов
Чистка зубного камня ультразвуком
Современный и продуктивный способ удаления зубного камня, также известный как чистка зубов ультразвуком. Эта процедура не вредит эмали. В процессе стоматологической чистки зубов насадка скалера генерирует высокочастотные вибрации, которые сбивают твёрдые отложения. Зубной камень — это затвердевший налёт. Остатки пищи формируют липкий осадок, который накапливается, уплотняется и цементируется вдоль линии десны. При недостаточной ежедневной чистке зубов формирование зубного камня проходит быстрее. Однако даже при хорошей и систематической гигиене, налёт со временем оседает в зонах, которые сложно вычистить даже электрической щёткой.
AIR-FLOW - удаление тёмного зубного налёта
Аппарат Air Flow является отличным методом удаления зубного налёта. Эта процедура осуществляется с помощью стоматологического прибора, который подаёт на зубы поток воды под давлением, смешанный с воздухом и мелкодисперсным шлифовальным порошком (стоматологический бикарбонат натрия или кальция). AirFlow очень хорошо очищает зубы от биоплёнки и пигментированного зубного налёта, который невозможно убрать обычной щёткой, образовавшегося из-за курения или употребления окрашенных напитков и пищи.

Полировка зубов
Полировка зубов — это процедура, которая придаёт зубам блеск и помогает создать гладкую и сияющую поверхность, улучшает внешний вид зубов, делая их более белыми и яркими, а также предотвращает накопление зубного налёта на эмали зубов на некоторое время. Процедуру можно проводить как в комплексе чистки зубов, так и отдельно для шлифовки пломб и реставраций.
Герметизация эмали зубов
Или глубокое фторирование. Фтор является важным профилактическим элементом для здоровья зубов, поскольку он помогает укреплять зубную эмаль и предотвращать появление и развитие кариеса, уменьшать чувствительность зубов. Во время процедуры глубокого фторирования мы используем препарат, содержащий комбинацию фторидов, которые создают защитный слой и насыщают эмаль зуба минералами. Стоматологи используют для этой манипуляции составы разных производителей и силы действия.