Удаление постоянных зубов и зуба мудрости, цена
| Категория сложности | Стоимость, грн. | |||
|---|---|---|---|---|
| Удаление | Анестезия | Итого: | ||
| Удаление обычных зубов | ||||
| I | 1350 | 350 | 1700 | |
| II | 1750 | 350 | 2100 | |
| Хирургическое | 2250 | 350 | 2600 | |
| Удаление зуба мудрости | ||||
| Обычное | 2550 | 350 | 2900 | |
| Хирургическое | 4550 | 350 | 4900 | |
*без учёта стоимости наложения швов и дополнительных услуг
Удаление зубов по типам сложности, что это?
- 1 степень сложности - Удаление фрагментов зубов, молочных или подвижных зубов с помощью элеваторов и щипцов
- 2 степень сложности - Удаление постоянных зубов или корней (кроме зубов мудрости) с помощью элеваторов или щипцов без необходимости использования дополнительных инструментов и хирургических техник. В некоторых случаях может потребоваться кюретаж лунки
- 3 степень сложности - Удаление постоянных зубов (кроме зубов мудрости) или их корней с использованием хирургической фрезы.
- 3 степень сложности - Простое удаление зубов мудрости верхней или нижней челюсти без использования хирургических техник.
- 4 степень сложности - Удаление зуба с применением хирургического вмешательства, к этой сложности может относиться удаление неправильно расположенных зубов, зачатков зуба, которые выросли не полностью, необычная форма, положение или размер корней зуба, затруднённый доступ к корням
Удаление зуба является стандартной процедурой, которая выполняется квалифицированным стоматологом. Однако, как и любая другая медицинская процедура, она может иметь свои риски и осложнения, поэтому важно обсудить все возможные риски и побочные эффекты с лечащим стоматологом перед проведением процедуры
| Хирургические процедуры и услуги | Стоимость, грн. |
|---|---|
| Наложение швов | 500 |
| Лечение альвеолита | 950 |
| Вскрытие абсцесса, дренаж | 950 |
| Установка коллагенового конуса Parasorb | 1350 |
| Пластика уздечки | 2550 |
| Резекция верхушки корня, цистэктомия | 5250 |
| Гингивопластика | от 2500 |
| Трансплантация рецессированной области десны | 3300 |
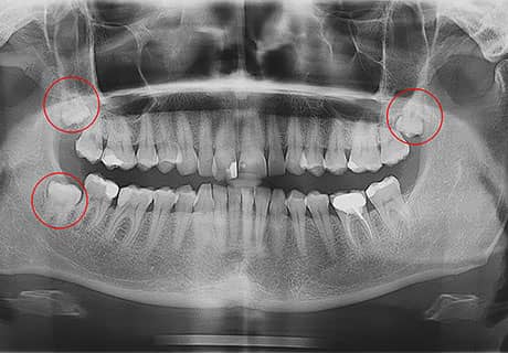
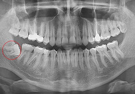
Зубы мудрости выросли не полностью
Атипичное расположение зуба
Рекомендации после удаления зубов:
Очень важно соблюдать определённые рекомендации, чтобы обеспечить более быстрое и эффективное заживление раны и избежать осложнений.
- Старайтесь не курить и не употреблять алкогольные напитки в течение первых 48 часов после удаления зубов, поскольку это может привести к задержке заживления и повышению риска инфекции
- Избегайте интенсивных физических нагрузок, приёма горячего душа или ванны, а также активного жевания в течение первых нескольких дней после удаления зуба для предотвращения кровотечения
- Исключите жёсткую и твёрдую пищу, поскольку это может повредить рану и замедлить процесс заживления. Старайтесь не жевать на той стороне, где удалён зуб. В первые несколько дней после удаления зуба следует придерживаться мягкой пищи
- Принимайте рекомендованные лекарства, включая антибиотики и противовоспалительные препараты, чтобы предотвратить инфекцию, снизить боль и воспаление. Приём лекарств необходимо проводить в соответствии с назначением врача
- Старайтесь не пользоваться зубной щёткой в зоне удаления зуба в течение первых дней после процедуры. Можно использовать мягкую зубную щётку для чистки зубов в других участках рта.
- Если были наложены швы, необходимо записаться на приём для их снятия. В некоторых случаях используются рассасывающиеся нити. Снятие швов является простой процедурой и, как правило, безболезненно.
- Соблюдайте рекомендации вашего стоматолога и не пропускайте назначенные вам визиты для контроля и очищения раны при необходимости
- Срочно обратитесь к стоматологу, если у вас возникнут сильные боли, кровотечение, отёк, температура или другие неприятные симптомы, которые могут указывать на осложнения